Cement Fillings
Cement Fillings
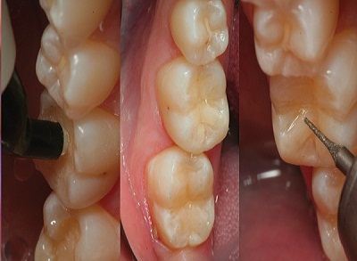
A dental restoration or dental filling is a dental restorative material used to restore the function, integrity and morphology of missing tooth structure. The structural loss typically results from caries or external trauma. It is also lost intentionally during tooth preparation to improve the aesthetics or the physical integrity of the intended restorative material. Dental restoration also refers to the replacement of missing tooth structure that is supported by dental implants. Dental restorations can be divided into two broad types: direct restorations and indirect restorations. All dental restorations can be further classified by their location and size. A root canal filling is a restorative technique used to fill the space where the dental pulp normally resides.
Restoring a tooth to good form and function requires two steps, (1) preparing the tooth for placement of restorative material or materials, and (2) placement of restorative material or materials..
