Services
Rose MultiSpeciality Dental Care Centre is centrally located in Thanjavur City.Our dentists provide a wide range of services for all members of the family.The goal of our dentists is to educate you on your dental health so that you can achieve a beautiful smile and keep your smile through life.
As one of the leading dental care clinics in Thanjavur, we at Rose MultiSpeciality Dental Care believe in helping our patients develop a personalized plan that will help them maintain healthy teeth and beautiful smiles for the rest of their lives.
Dental Extraction
Tooth extraction is the removal of a tooth from its socket in the bone. If a tooth has been broken or damaged by decay.More
Periodontal Surgery
Periodontal surgery is a plastic (reshaping) surgical procedure designed to restore and regenerate normal form and function to lost and damaged More
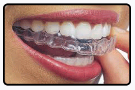
Orthodontic Treatment
Orthodontic treatment is a way of straightening or moving teeth, to improve the appearance of the teeth and how they work More
Night Guard
Mouth guards are similar in appearance to those used in sports such as boxing. They're usually made out of bendy rubber or plastic More
Composite Bending Smile Makeover
Composite bonding can significantly improve the look of your teeth and transform your smile into something and More
Crown & Bridges
crowns and bridges are cemented onto existing teeth or implants, and can only be removed by a dentist More
Root Canal Treatment
Many teeth that need root canal therapy will not cause pain. But that does not mean the tooth is okay More
Acrylic Full Denture
Each affiliated Affordable Dentures practice wants you to have the best denture you can afford. That's why we offer several styles of full dentures More
Acrylic Partial Denture
We offer several types of partial dentures - cast metal, flexible and acrylic. The cast metal and flexible partials are our best partials More
Metal Crown & Bridges
A dental crown, sometimes called a cap, completely covers your damaged tooth. It is cemented into place and offers a strong, solid replacement for a natural tooth More
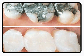
Cement Fillings
Direct and indirect. Direct fillings are placed by your dentist using a bright blue light that hardens the soft material More
Ceramic Crown & Bridges
It is similar to a conventional type of bridge in that it is comprised of a false tooth and a couple of crowns which act as an anchor for the false tooth More
Child Dental Care
Pedodontic Dentistry is a branch of dentistry which gives specialized dental care for children under the age of sixteen. More
